根据临床统计数据发现:萎缩性胃炎的胃癌发生率约为10%左右。他们的发展脉络为:浅表性胃炎—萎缩性胃炎—肠上皮化生和不典型增生—胃癌。由此可见,萎缩性胃炎到胃癌有一个漫长的过程,其中肠上皮化生(肠化)和不典型增生是该病发展为胃癌的桥梁。
鄂州爱民中西医结合胃肠医院吕迎斌主任介绍:萎缩性胃炎伴肠化能治好,需要在专业正规医院采用有效的治疗方法,结合后期自我调养才能治好萎缩性胃炎。在了解治疗方法之前,首先来了解什么萎缩性胃炎伴肠化。
什么是萎缩性胃炎伴肠化

萎缩性胃炎也称慢性萎缩性胃炎,以胃黏膜上皮和腺体萎缩,数目减少,胃黏膜变薄,黏膜基层增厚,或伴幽门腺化生和肠腺化生,或有不典型增生为特征的慢性消化系统疾病。
当慢性浅表性胃炎发展为慢性萎缩性胃炎时,胃粘膜常伴有肠腺上皮化生,使正常胃粘膜的分泌功能改变为胃所缺乏的吸收功能,化生的肠腺上皮细胞能吸收一些脂质,由于缺乏乳糜管而使吸收的脂质不能像小肠粘膜那样立即输入血循环,而是滞留在肠腺化生上皮内,胃粘膜区不能有效解毒,从而形成致癌物质,诱发胃癌。也给黄曲霉素、苯胼荜等致癌物质的吸收准备了条件。
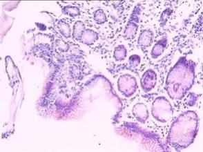
萎缩性胃炎伴肠化的病理
萎缩性胃炎伴肠化在萎缩性胃炎时很常见,它是萎缩性胃炎的比较突出的病变。其常发生于幽门窦,继而向小弯、大弯、胃体部扩展。
萎缩性胃炎伴肠化是指病变区胃粘膜上皮被肠型腺上皮替代,出现吸收细胞、杯状细胞及潘氏细胞。
萎缩性胃炎伴肠化轻者只是少量的杯状细胞,重者可见大量的肠绒毛上皮。
萎缩性胃炎根据萎缩的程度不同而区别对待。萎缩性月炎分为轻、中、重3级,并多少伴有肠上皮化生或不典型增生。》》》我的情况严重吗?
中度以上,尤其是重度萎缩伴有重度肠上皮不典型增生或化生者,因癌变可能性增大,要高度警惕。对于萎缩性胃炎伴肠化如何治疗好呢?
专业胃肠治疗,助你摆脱疾病干扰

近年国内外胃肠研究表明,萎缩性胃炎伴肠化,是可以治疗并可以逆转的,从大肠化生转为小肠化生再逆转为普通浅表性胃炎,直至治好。
对于萎缩性胃炎伴肠化患者病发特点不同,治疗方法也是不同。鄂州爱民中西医结合胃肠医院通过患者患病原因和病理状态对炎症部位进行治疗,利用纯天然精选药物配方结合先进治疗技术,激活和调整炎症部位,调节和增强肠胃功能,一方面补充胃部所需营养,另一方面也增加了胃消化动力,从而有效治疗各种久治不愈的萎缩性胃炎伴肠化。
近年大量研究成果表明,萎缩性胃炎及其伴有的肠化生、细胞异型增生与胃癌的发生存在着密切关系。萎缩性胃炎常伴有肠化生,两者并见者占66.5%,而且随年龄增长而上升,发现患者萎缩性胃炎并伴有肠化生,要及时去正规胃肠病专科医院接受治疗,以免引发癌变。》》》医保可报销多少?
